明仁牙醫診所莊子伶醫師,把握青少年黃金期矯正「叛逆」阻生齒,讓孩子重拾自信笑容
孩子換牙期間,許多家長常以為只要順其自然,恆牙就會乖乖長好。然而,當發現恆牙遲遲未長出,或是從牙齦等意想不到的地方冒出頭時,很可能就是遇到了「阻生齒」的狀況,其中又以「犬齒阻生」為常見的排列問題。
本次《牙醫菁英案例》邀請台北明仁牙醫診所莊子伶醫師,分享一位國小六年級女孩的真實案例。文章中將帶您了解,當遇到乳牙遲遲不掉、恆牙卻從旁冒出的窘境時,醫師如何透過精確的空間分配與牽引技術,並在孩子自身努力配合配戴橡皮筋之下,於升上國中前成功將「叛逆」的犬齒拉回正軌。
莊子伶醫師畢業於台大牙醫系,並取得台大臨床牙醫研究所碩士學位,更是衛福部定齒顎矯正專科醫師。她不僅具備兒童早期矯正、傳統與隱形矯正的豐富經驗,同時也是中華民國隱形矯正學會的專家醫師及中華民國兒童牙科醫學會會員。憑藉在台大醫院的完整訓練與赴韓國延世大學的進修經歷,莊醫師十分擅長把握兒童青少年細胞新陳代謝旺盛、牙齒移動快的黃金時期,利用適當的矯正裝置引導牙齒往正常方向生長。
讓我們跟隨莊子伶醫師的腳步,一探這段「叛逆牙齒」的矯正旅程。這不僅是排整齊牙齒、恢復正常咬合的過程,更是幫助孩子能充滿自信、開懷大笑的重要契機。

為什麼恆牙長不出來?解析犬齒阻生的三大原因
不是所有的花兒都能盛開,不是所有的恆牙都能順利長出來。兒童在經歷換牙結束後,常常會有家長發現,怎麼長出來的恆牙歪歪的、不好看?而恆牙排列歪七扭八最常見的問題之一,就是「犬齒阻生」。
造成犬齒阻生的原因,有以下三點:
- 萌發空間不足:恆牙的尺寸比乳牙大得多,如果牙床太狹窄,可能使得犬齒長不出來。
- 乳牙提早脫落:當乳牙因蛀牙或外傷等原因提前脫落,可能導致後排牙齒往前佔據空間、犬齒長不出來。
- 基因異常:目前已知有特定基因變異,會導致牙齒無法正常萌發。

案例分享:精準牽引與醫患合作,讓「叛逆犬齒」回歸正軌
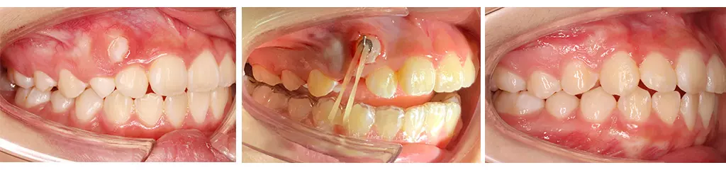
病人小美是國小六年級生,她的乳牙全部都掉完了,唯獨剩下一顆右上乳犬齒。家長原本不以為意,想讓牙齒順其自然生長就好,誰知等了好久好久,這最後一顆乳牙絲毫沒有動搖,不像是會脫落的樣子。更糟糕的是,有一天小美刷牙的時候,發現牙齦上冒出來一坨白白的東西,好像是恆牙長歪了!家長趕緊帶小美來看牙醫。
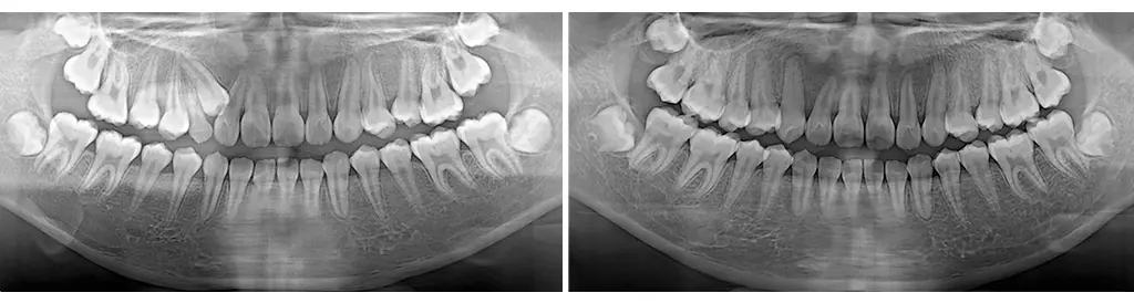
經過檢查後發現,原來小美的犬齒完全沒有長在應有的位子上,反而從旁邊另闢蹊徑冒出頭來,於是在醫生的安排下進行牙齒矯正治療。首先,要將該掉而未掉的乳牙拔除。由於乳牙的空間不夠容納恆牙,接下來要將空間撐寬,準備好恆牙的位子。最後,在歪掉的犬齒上黏著一個勾勾,請小美每天自己換橡皮筋,把牙齒拉下來。

剛開始用橡皮筋拉牙齒的前三天,小美覺得牙齒有一點酸酸緊緊的感覺,因為醫生有交代這個是正常的現象,所以小美還是認真地繼續拉橡皮筋。慢慢地,小美覺得牙齒已經習慣了橡皮筋的拉力,沒有不舒服了!而且每天刷牙的時候,可以看到牙齒一點一點往下移動,回診時醫生也誇獎小美,橡皮筋拉得很順利。
很快就到了農曆春節,由於吃東西的時候牙套及橡皮筋都要拿下來,小美在家有好多好多東西可以吃,實在沒有空戴橡皮筋。而且放假的時候,玩電腦都玩到很晚,才被家長匆匆忙忙趕上床,有好幾天忘記掛橡皮筋就睡覺了。放完年假之後回診,醫生發現牙齒怎麼沒進步?小美這才知道還是要靠自己的努力,治療才會有用。開學之後,小美超級認真!午餐都會提前五分鐘吃完,去廁所刷完牙,再戴牙套及橡皮筋。於是在畢業典禮後、升國中前的暑假,順利完成矯正治療。

把握青少年黃金期,讓孩子重拾自信笑容
兒童青少年時期由於細胞新陳代謝旺盛、牙齒移動快,利用簡單的矯正裝置即可導引阻生犬齒往正常方向生長。此時進行矯正治療將牙齒排列整齊,不僅能恢復正常咬合、清潔方便,更讓孩子能充滿自信地開懷大笑!

《莊子伶醫師檔案》
莊子伶醫師畢業於台大牙醫系,在台大醫院擔任住院醫師及齒顎矯正專科訓練,同時取得台大臨床牙醫研究所碩士學位,曾經赴韓國延世大學醫院參加進階課程,現為衛福部定齒顎矯正專科醫師。除了傳統金屬矯正器,同時擅長隱形矯正,目前為中華民國隱形矯正學會的專家醫師,以及兒童牙科醫學會員。
主治項目:兒童早期矯正、傳統矯正、隱形矯正
衛福部定齒顎矯正專科醫師
國立台灣大學牙醫學士
台大臨床牙醫研究所碩士
韓國延世大學進階矯正訓練
中華民國兒童牙科醫學會會員
中華民國隱形矯正學會專家醫師
隱適美隱形矯正兒童青少年專屬醫師
衛生福利部核發之牙醫師證書字號
牙字第015207號
◆台北明仁牙醫診所
02-2727-0059
臺北市信義區松山路496號