明仁牙醫診所曾冠傑醫師用「數到五」的約定,為特殊需求牙科患者找回咀嚼功能
笑容與進食,對許多人來說是再自然不過的日常,然而,對於一群有特殊需求的患者,達成這個「簡單的願望」,往往需要更多的時間、耐心與專業。
「特殊需求口腔醫學專科」是衛福部制定十一項專科之一,服務對象在身體、心理、社會行為層面有別於一般人,需要特別照護,例如自閉症、腦性麻痺、多重障礙或唐氏症等。
雖然對一般大眾而言,是比較陌生、平常較少接觸的領域,但仍有一群人替這些特殊需求者默默溫柔的付出。本次邀請臺北市明仁牙醫診所曾冠傑醫師,分享特殊需求者治療的過程,讓我們有機會透過醫師的視角,跟隨唐氏症女孩一起經歷多次的嘗試,最終成功完成假牙製作。在這場特殊的治療中,曾冠傑醫師不只是修復了牙齒,更要克服生理上的挑戰、建立信任,一步一步引導患者走向健康。
曾冠傑醫師畢業於台灣大學,曾至美國加州大學洛杉磯分校UCLA,進行醫院牙科進修,現在除了是臺北市明仁牙醫診所特需主治醫師之外,同時也在臺大醫院擔任特殊需求牙科兼任主治醫師。
邀請您一起加入這個特殊的旅程,它將帶您深入了解:在特殊需求牙科領域,醫師如何透過細膩的溝通與設計,讓生命中的每一個笑容,都能再次閃耀光芒。
一副新假牙,重拾笑容與自信——唐氏症患者的特別旅程
每一個人都希望能自在地微笑、安心地吃飯。這樣的願望,看似簡單,卻對許多特殊需求的患者來說,往往是一場漫長的挑戰。身為一位特殊需求牙科醫師,我深刻體會到——「讓患者能好好吃飯、好好笑」本身,就是一份極大的幸福。
患者的來訪:一個看似簡單的需求
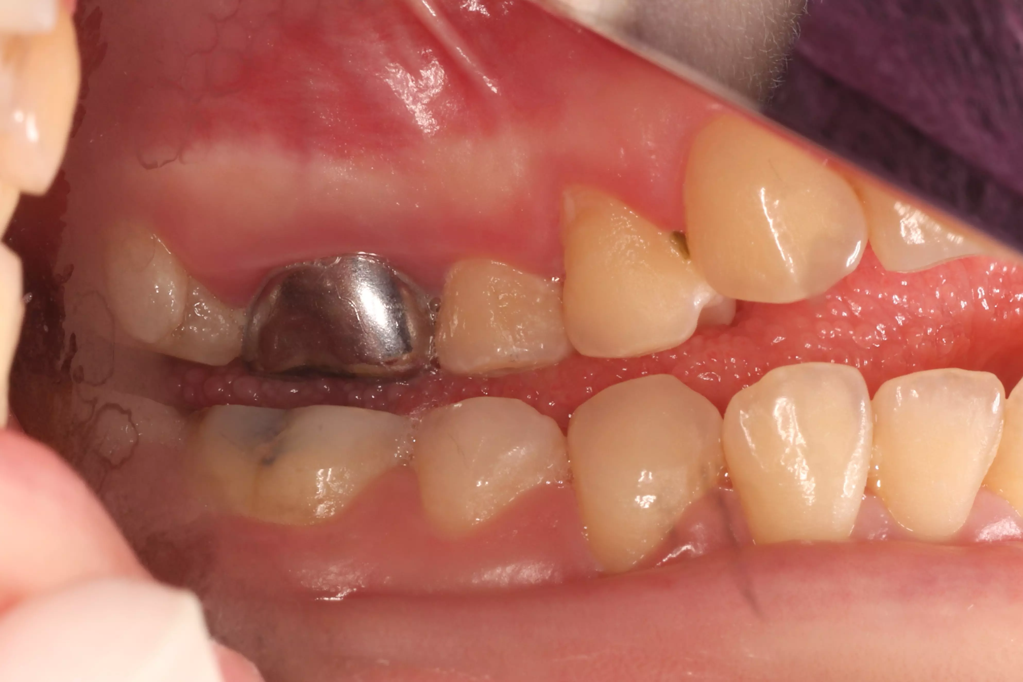
這位20多歲的唐氏症患者,由家人陪同前來就診。她以前於其他院所製作的假牙在不久前脫落遺失,導致後牙區缺牙,吃東西時常無法咬斷食物。家人希望她能重新製作一副新的牙橋,恢復正常進食功能。
對一般人來說,這樣的假牙製作是相當例行的治療,但在她身上,卻充滿考驗。
下方是患者初診的照片。患者有嚴重的咬合不正,但是基於身體條件,不適合進行齒顎矯正。下顎左側的缺牙使得她原本就不好的咬合功能變得雪上加霜,吃東西變得更困難。




小小的挑戰,背後的大努力
唐氏症患者常有舌頭肥大的特徵,再加上這位患者本身口水分泌量很多,且只會用嘴巴呼吸,平時光是平躺就有可能被自己的口水嗆到,而她的治療區域又剛好位於後牙區——這讓治療變得特別困難。只要器械稍微靠近舌頭或咽部,她就會出現明顯的嘔吐反射;若牙科手機噴水稍多,甚至會嗆咳。再加上治療時的焦慮反應,使她難以長時間保持張口與穩定。
這些都是在特殊需求牙科中經常面對的挑戰——並不是患者不願配合,而是他們的身體條件與反射反應,讓我們必須更細膩地設計每一個治療步驟。
一步一腳印,拆解治療流程
我先向家屬說明,假牙製作過程我們會「分階段」進行。一般患者約兩、三次就能完成的療程,我們可能需要五次、六次,甚至更多次的約診。每次時間不長,卻讓她能漸漸熟悉環境與我們的聲音。
在修磨牙齒時,我會和她約定一個「節奏」——「我們現在要噴水刷牙喔,從1數到5就休息。」這樣讓她有心理預期,不再因為不確定而緊張。印模或試戴階段,我們也會先讓她熟悉材料味道與觸感,再逐步操作,降低嘔吐反射。
每次來診,我和護理人員都會主動與她閒聊,問她早餐吃了什麼?工廠生活做了什麼?讓診間不只是治療的地方,更像是她可以信任的環境。
笑容的重生
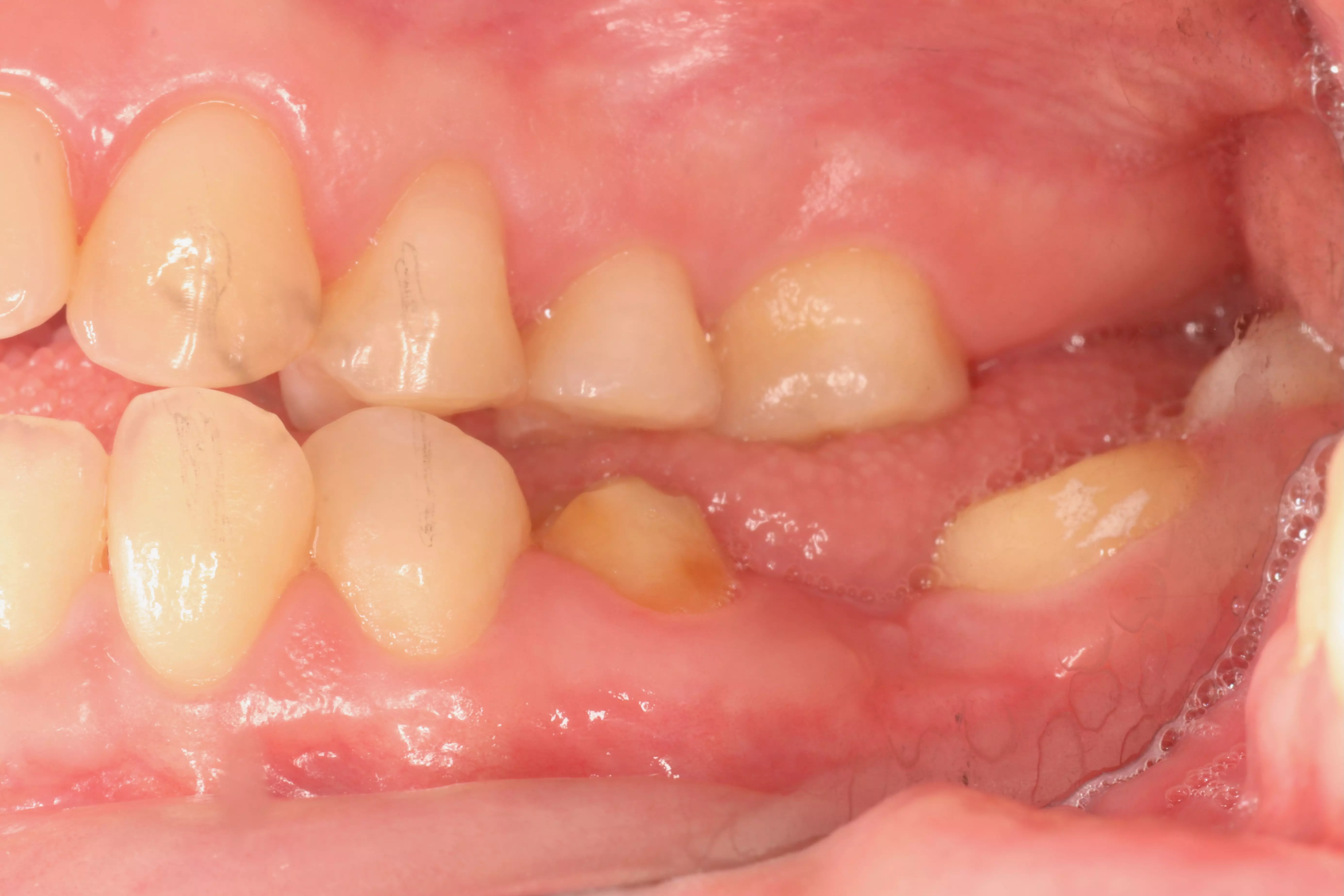
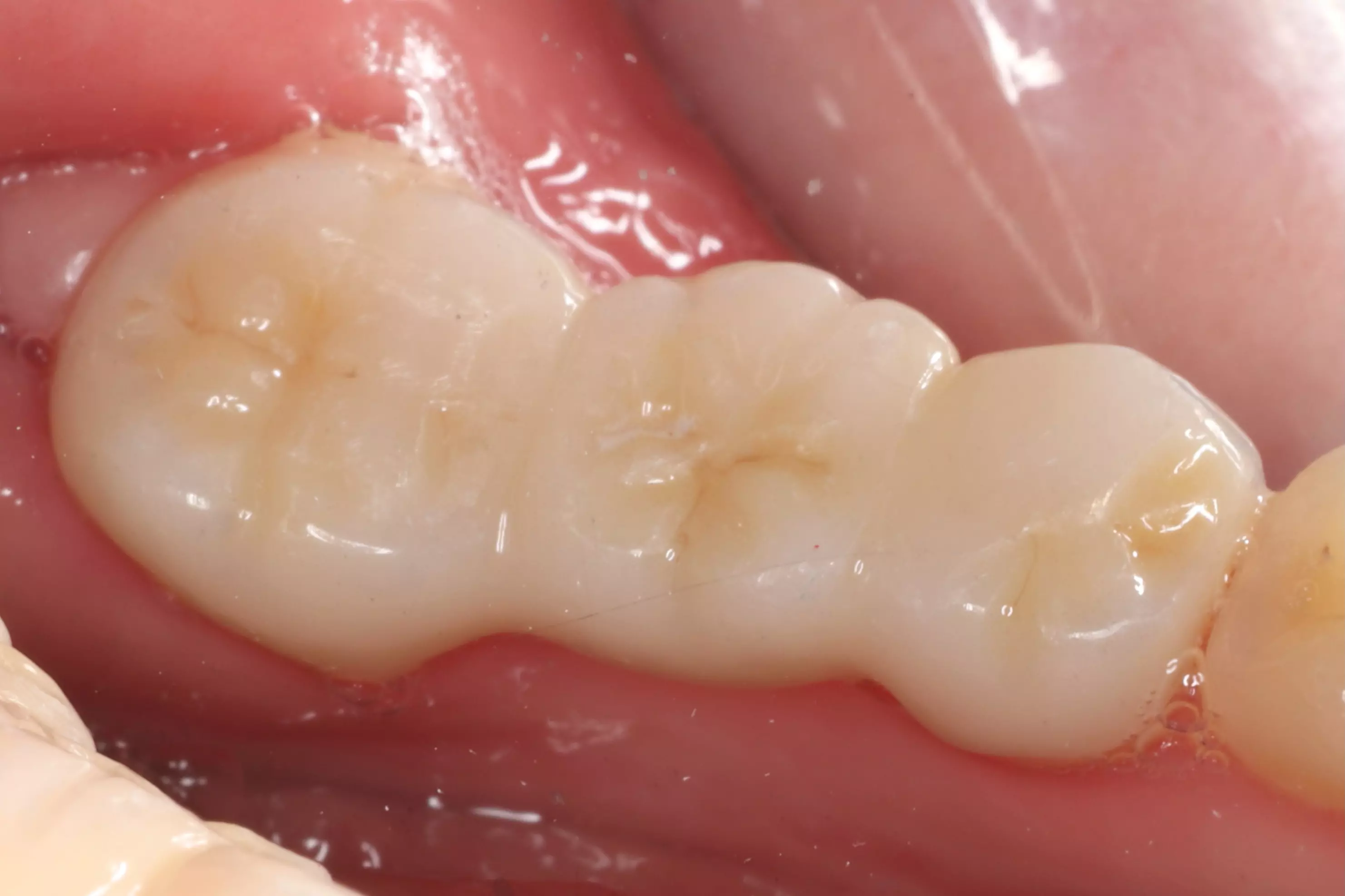
經過多次的耐心治療與逐步完成的程序,新假牙終於順利製作完成。當她第一次在鏡子前試戴時,露出了靦腆卻開心的笑容,那一刻,我知道所有的努力都值得。
這副新假牙,不只是讓她恢復了咀嚼功能,更讓她能再次自信地微笑。家屬告訴我,她現在來看牙科已經不像過去那麼緊張,甚至會微笑面對治療。看到這樣的改變,家屬和病人都很開心,而我也為她的成長感到欣慰。
下方是治療完成的照片。歷時四個多月,在患者、家屬、及醫療團隊的共同努力下,終於完成新的假牙製作。



曾冠傑醫師的心裡話
每一次為特殊需求患者治療,都是一場「醫師與患者共同學習的旅程」。我們學會放慢速度、學會觀察他們的反應,學會用不同的方式傳達安全與信任。
我常想,牙醫治療不只是修復牙齒,更是修復人與醫療之間的關係。
他們可能需要更多時間、更多耐心,但當他們願意張開嘴、願意相信我們的那一刻,就是最珍貴的回報。
因為在每一個特殊需求患者的笑容背後,都藏著他們的勇氣,也藏著醫療團隊所有的用心。

《曾冠傑醫師介紹》
曾冠傑醫師從台大牙醫系畢業以後,持續在台大醫院進行特殊需求牙科與兒童牙科的專科訓練,也曾至美國加州大學洛杉磯分校UCLA,進行醫院牙科進修。目前曾冠傑醫師擔任台大特殊需求牙科兼任主治醫師、明仁牙科診所特需主治醫師等。
曾冠傑醫師致力於特殊需求者的牙科照護領域,希望帶給每一位患者平等的口腔健康,不因身體或是心理疾病而有區別,讓大家都能自信微笑。
● 臺北明仁牙醫診所
02-2727-0059
臺北市信義區松山路496號