口腔狀況複雜怎麼辦?欣美牙醫鄭胤捷院長全口重建案例:一次解決植牙、牙齒矯正等困擾
當面對一口混亂的牙齒,許多人內心深處渴望擁有整齊健康的笑容,卻不知從何著手。漫長的治療時間、複雜的流程,以及與醫師之間可能存在的溝通障礙,都讓這趟口腔重建之旅顯得充滿挑戰。
在台灣,要找到一位願意花時間、有耐心,並能為患者量身打造整體治療計畫的醫師並不容易。為此,《台灣好醫生》特別邀請到高雄欣美牙醫診所院長鄭胤捷醫師,分享他們如何透過專業的醫療分工進行「全口重建」,並且縮短整體療程,減輕患者心理壓力,協助患者重拾自信笑容。鄭胤捷醫師不僅是高雄醫學大學牙醫學系碩士,更擁有美國密西根大學植牙專科研究與多項學會專科醫師資格,豐富的資歷與專業背景,讓他成為許多患者信賴的對象。
本次分享案例,透過完整的口腔規劃,一次解決以下問題:
- 缺牙:植牙、矯正
- 齒列不整、咬合問題:牙齒矯正、假牙套重建高度
- 蛀牙:根管治療、樹脂填補、全瓷牙套
- 齒色不均:牙齒美白、牙齒貼片
從心累到安心:用耐心贏得患者信賴,重新建立醫病信任關係
本次的案例主角C女士,曾在大醫院經歷一段挫折的牙科治療。她分享在大醫院看診時,各科別之間不斷轉診,卻沒有一位醫師能完整解釋治療計畫。當她鼓起勇氣提出疑問,卻被主治醫師一句「你質疑我的專業」而打退,讓她身心俱疲,因此對牙醫產生了不信任感。
當C女士來到欣美牙醫診所時,起初顯得相當畏縮,不敢表達內心的恐懼與擔憂。鄭胤捷醫師沒有急著開始治療,而是花費大量時間,耐心傾聽C女士過去的經歷,詳細了解她的口腔狀況與需求。經過審慎評估,鄭醫師為她提出了兩種治療方案:
- 「矯正後植牙+假牙」
- 「不矯正,直接植牙+假牙」
兩種方案都有其優缺點,但鄭胤捷醫師細心地將治療流程、時間與最終效果一一向C女士解釋清楚,讓她能夠在充分理解的基礎上做出選擇。C女士最終選擇了效果最理想的「矯正後植牙+假牙」方案,並許下希望每次看診都能看到明顯進步的心願。
高雄欣美牙醫診所四位醫師聯手,打造高效的全口重建專案
在接下來的治療中,C女士很快就看到了改變。無論是拔牙或植牙治療,鄭胤捷醫師總是非常在乎她的每一個反應與感受,讓C女士的恐懼感逐漸消失,取而代之的是安心與信任。當治療進入中期,C女士向鄭胤捷醫師提出能否加快治療速度的請求時,鄭醫師決定啟動一項特別的「專案計畫」。
他立即組織了一支由高雄欣美牙醫四位醫師組成的專屬團隊,成員包括:
- 專長植牙與補骨、牙肉增生 鄭胤捷醫師
- 專長全瓷牙冠、無痛拔牙 賴志彥醫師
- 3D齒雕與數位美學牙科 連凱雯醫師
- 牙齒美白與根管治療 廖信昱醫師
四位醫師共同為C女士量身打造一個整合性的治療方案。在團隊合作下,原本需要分階段進行的植牙、牙齒矯正、拔牙、補骨粉、牙肉增生、根管治療、假牙鑄心與陶瓷貼片等治療,得以同步進行。僅僅半年的時間,C女士的牙齒就煥然一新。
治療的尾聲,由鄭胤捷醫師親自為C女士進行了全口牙齒冷光美白,為她的新笑容畫下完美的句點。

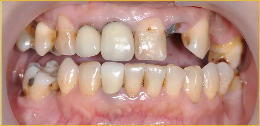
↑治療前,可以明顯看見缺牙和假牙邊緣金屬色

↑治療前x光片

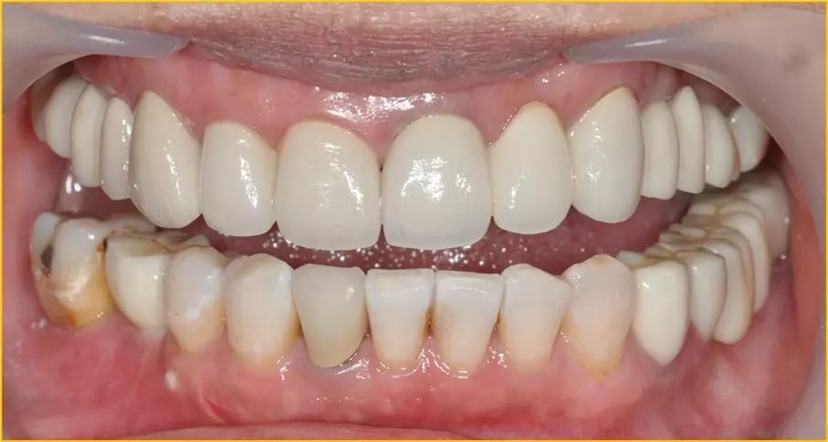
↑治療後漂亮整齊的牙齒
用耐心與專業,重建的不只是牙齒,更是信心
從一開始對牙醫抱持懷疑與恐懼,到最後重拾美麗笑容,C女士的案例完美詮釋了「全口重建」不僅是牙齒的治療,更是一場信心的重建之旅。
位於北高雄核心,交通便利的欣美牙醫診所,開業超過20年,鄭胤捷院長帶領的專業團隊,以其細心、耐心與跨科別的整合能力,證明了即便面對再複雜的口腔狀況,只要找到對的醫師,並建立良好的醫病溝通,每個人都能找回健康與自信。如果您也有類似的口腔困擾,不妨將這篇文章作為一個起點,了解全口重建的更多可能性。

《鄭胤捷院長檔案》
鄭胤捷醫師現為欣美牙醫診所院長,不僅是高雄醫學大學牙醫補綴學碩士、美國密西根大學植牙專科研究醫師,同時也是中華民國植牙醫學會專科醫師、台灣牙周補綴學會專科醫師,多年來在臨床與教學上累積深厚實力。他細心耐心、重視醫病溝通,正是帶領患者走向健康口腔的關鍵。
欣美牙醫診所位於高雄市左營,鄰近捷運凹子底站與輕軌愛河之心站,交通便利、停車方便,深耕北高雄超過20年。
●欣美牙醫診所
高雄市左營區博愛二路8號
電話掛號:(07)556-0111