臺北明仁牙醫診所董鈺群|柯智鐘醫師聯手:前牙美學重建的終極挑戰與細節
在人際互動中,一個自信且和諧的笑容是展現個人魅力的最佳名片。現今的牙齒美學追求,已從單純的排列整齊,升級到講究個人化的「自然質感」。這不僅是一門醫學技術,更是一門結合藝術與科學的學問:前牙美學。
當牙齒美觀問題複雜,涉及齒列、型態、顏色等多重挑戰時,便需要跨專科的協同合作。
這次《牙醫菁英案例》邀請臺北明仁牙醫診所,分享一位H小姐的綜合美觀改善案例,深入解析「前牙美學」的精緻流程:從全臉分析、矯正排列,到精準比色、仿生贋復,如何將看似不協調的笑容,昇華為「做了好像沒做」的極致高級感。
本次案例由兩位資深醫師共同主導:
- 美學贋復醫師 董鈺群醫師:畢業於臺大牙醫系,現任臺大醫院補綴科兼任主治醫師、臺北明仁牙醫診所審美補綴醫師,並具備日本審美齒科協會認定醫資格,專精於牙齒型態與色彩的頂尖修復。
- 矯正協同醫師 柯智鐘醫師:畢業於臺大牙醫系,是臺北明仁牙醫診所執行長,擅長複雜齒列的矯正,確保牙根移動至最理想的位置。
透過這兩位醫師橫跨美學與矯正的專業協作,我們將見證,每一個細節的累積,如何造就一個與眾不同的美好笑容。

在人際互動中,無論是初次見面或久別重逢,微笑都是無聲的肢體語言,一個好看的笑容更是展現自信與魅力的最佳名片。
尤其在現今社會,人們對於外觀的追求越來越高,對於牙齒美觀也不再僅追求單純的排列整齊,複製貼上,更要追求個人化的細節—從全臉分析到微笑設計,追求亮白以外還追求自然質感,『前牙美學』已經是一門涵括藝術與科學的學問。

型態與排列分析
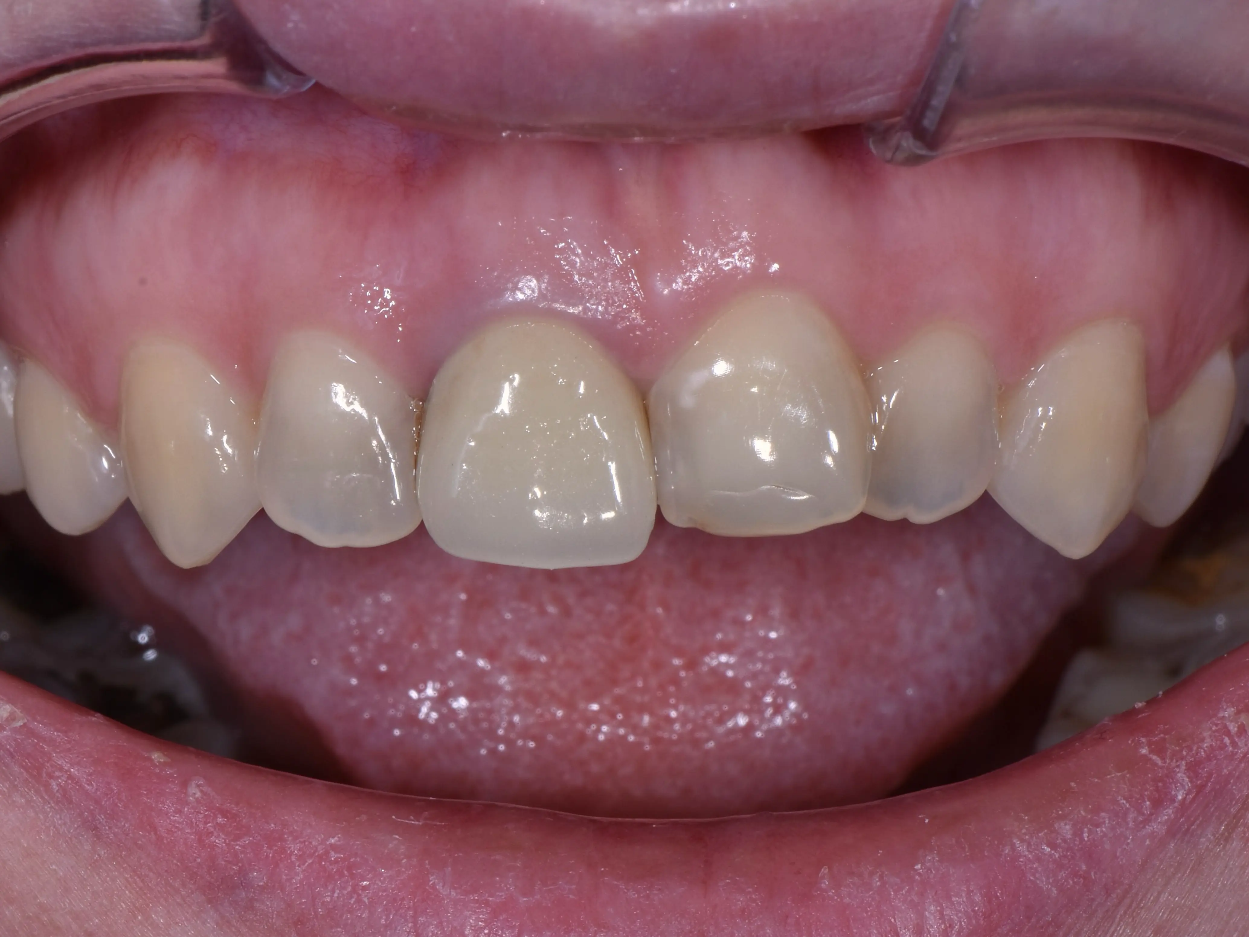
H小姐是一個綜合性的美觀改善案例。
初始狀態包括了齒列排列與牙齦線問題、牙齒型態缺損、不良的樹酯填補、假牙型態與顏色不正確等等因素,因此在視覺上呈現不協調的狀態。
這種跨專科的案例,需要在前期做出正確診斷,並且保持良好的溝通,才能在有共識的狀態下完成協同。
H小姐因咬合不正的關係, 除了齒列參差不齊之外,牙齒也有不同程度的切端磨耗,造成牙齒長度上的不均衡。雖然這種狀況在齒列不整的時期並不明顯,但這些潛在的問題將在牙根逐漸整齊後一一浮現,有經驗的團隊才有能在治療開始之前就預判並訂定改善計劃。
正確型態的臨時假牙與矯正治療
假牙醫師董鈺群醫師率先進場,製作不理想的右上門牙舊牙冠拆除並完成內部的蛀牙治療,再做上仿生臨時假牙,再交給矯正醫師柯智鐘醫師

而矯正柯智鐘醫師會參照牙齦線與牙齒最寬點以及軸向等資訊進行牙齒的排列工作,如此一來才能確保牙齒在正確型態的參考下進行合理的移動。
矯正把牙根排至正確的位置後,切端的不均勻磨損就會看更清楚
型態是前牙美學的靈魂,但關於型態的喜好也是非常主觀的,因此在臨床上臨時假牙是非常重要的環節,一個好的臨時假牙,不只能夠達成過渡時期的美觀功能,還傳遞醫病共識讓正式假牙符合個人美感需求
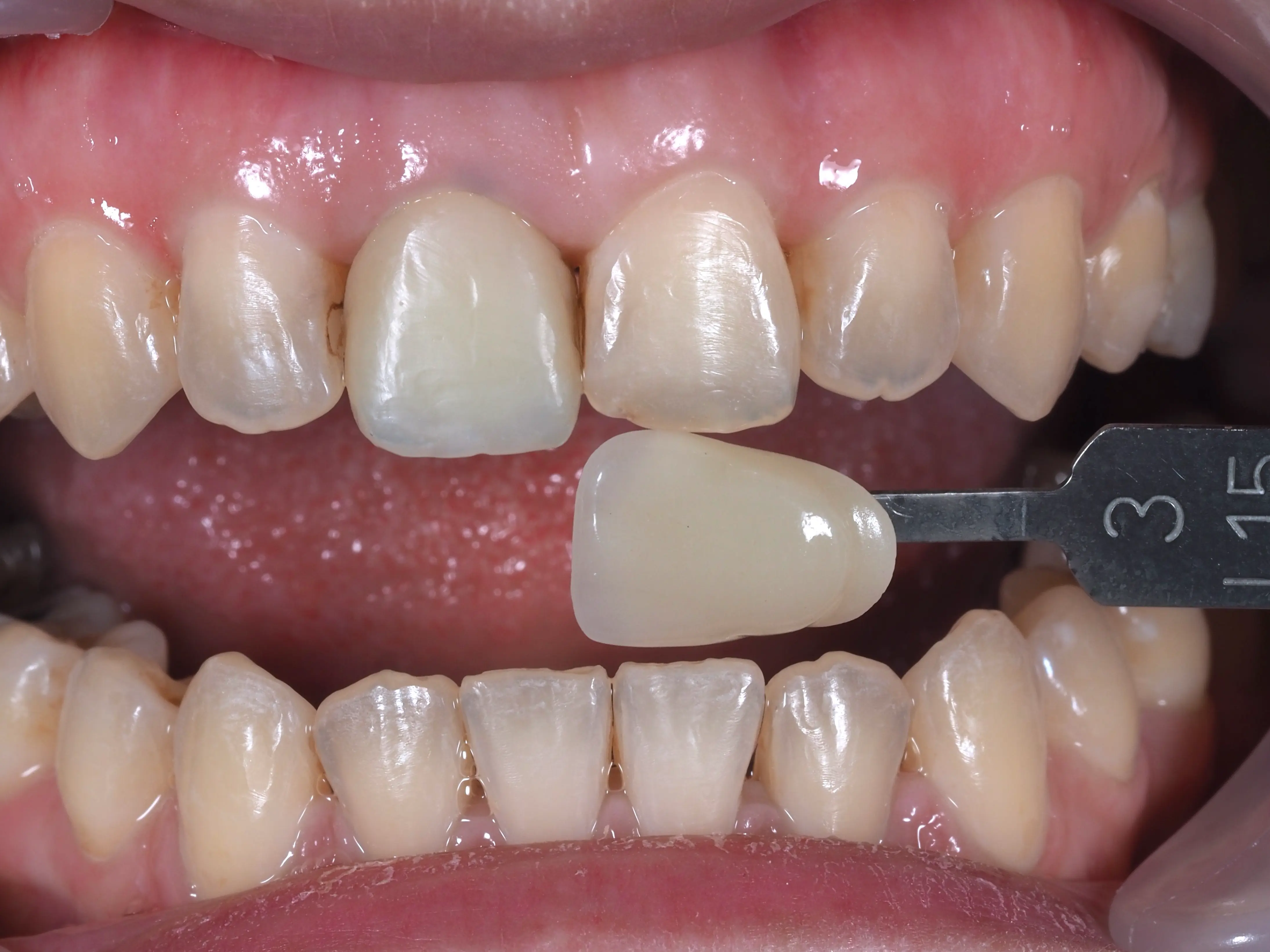
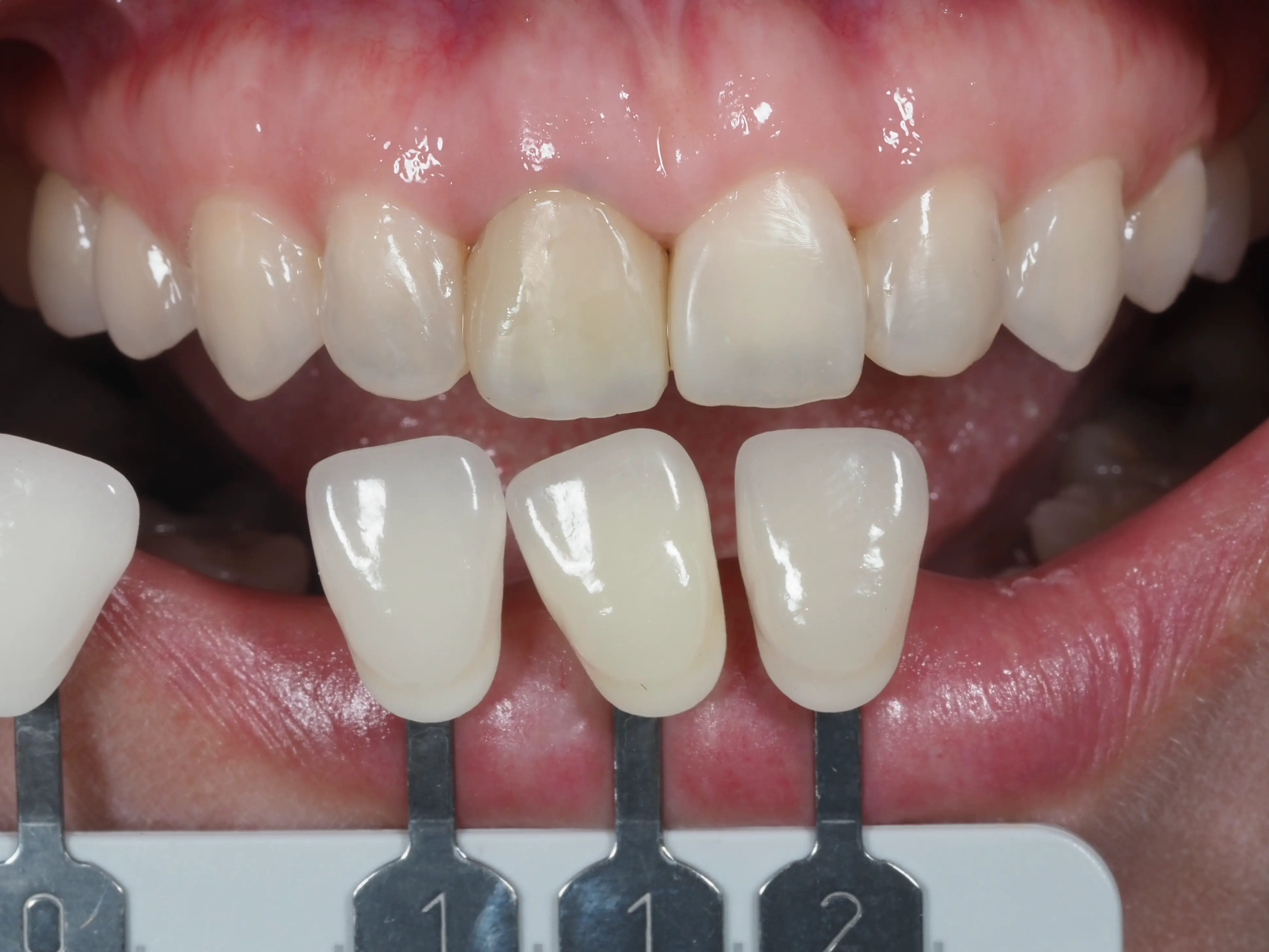
齒色分析與色彩規劃
在處理切端型態之前,必須先確認齒色 — 因為若患者有調整全口牙齒顏色的需求,必須先完成美白療程,並等待足夠回色時間再進行美學相關的治療,才能達到精準的比色

美學樹酯重建切端
美白治療過後,整體齒色亮度提升(可對照美白前後,右上門牙臨時假牙與其他自然牙的顏色對比),牙齒本身豐富的自然呈色更加明顯,這時候進行色彩分析可以達到更精準的成果。
H小姐本身齒質結構完整,除了右上門牙因過往已做過牙冠治療,因此必須用全全瓷冠贋復之外,其餘的蛀牙與切端修復則採用高階美學樹酯處理。

前牙利用美學樹酯修復是一項非常考驗技術的治療,除了夠好的齒質條件之外,醫師對於色彩的掌握,以及在顯微視野下微小區域的樹酯操作更是需要經驗。

修復後的兩顆側門牙與左上正中門牙,不僅看不出接縫,也讓這整體外觀變得更加協調好看
全瓷冠比色與燒瓷製作
仿生等級的全瓷冠是牙技師在顯微鏡下,根據自然牙的色彩分層用瓷粉一層一層堆築燒結而成,不僅兼顧美觀且具絕佳強度
在技師製作全瓷牙冠之前,需要先有正確的治療計劃,再加上醫師在臨床端精細的修磨以及模型的製作。

無論是用傳統印模或是數位掃描的方式,平順清晰的邊緣都是邊緣密合、咬合精準的基礎。

在精細的工作模型上搭配技師的巧手堆築,如此的配合才能達到藝術與技術的完美融合。
在前牙美觀區,美學的更高追求是仿生,是自然不做作。
從巨觀的全臉分析到個別牙齒排列,從材料選擇到型態顏色仿生,
就是為了達成「做了好像沒做」的極致高級感。

『前牙美學』每個環節都至關重要,是一門跨足多專科的協同治療,因此專業的美學團隊需要具備豐富的材料與生理知識,合併精準的技術操作以及感性的藝術眼光,加上對於患者個人特質的觀察力,一切細節的累積才能造就與眾不同的美好笑容。


《醫師介紹》
美學贋復醫師:董鈺群
矯正協同醫師:柯智鐘
《董鈺群醫師檔案》
國立臺灣大學牙醫系畢
臺大醫院補綴科 兼任主治醫師
臺北明仁牙醫診所 審美補綴醫師
日本審美齒科協會認定醫
專精:前牙美學、假牙贋復
《柯智鐘醫師檔案》
國立臺灣大學牙醫系
臺北明仁牙醫診所 執行長
專精:Tip-Edge牙齒矯正、阻生齒手術∕拔智齒手術
●台北明仁牙醫診所
02-2727-0059
臺北市信義區松山路496號