明仁牙醫診所施文智醫師,運用早期牙齒矯正避免兒童未來大型手術
許多家長常有迷思:牙齒矯正是否非得等到所有恆牙長齊? 其實不然。對於某些特定的咬合問題,例如本文即將探討的「功能型第三類咬合異常」,「早期介入」不僅是為了排整齊牙齒,更是為了引導孩子顎骨的正常發育,避免將來必須面對複雜甚至手術性的治療。
本次《牙醫菁英案例》邀請臺北明仁牙醫診所施文智醫師,分享11歲男孩的真實案例,展示如何利用隱形矯正,在短短一年內,成功改善前牙錯咬、擴大牙弓,讓孩子從原本「不愛笑、低食慾」變得充滿自信。
台大牙醫系畢業的施文智醫師,在臺大牙醫研究所完成嚴謹的兒童牙科訓練,同時也是隱適美隱形矯正系統的固定講師。憑藉在兒童牙科與早期矯正的專業背景,施醫師致力於在正確的時機,以最合適的方式(包括對特殊需求患者),為孩子們打下健康的口腔基礎,讓他們的笑容不再有陰影。
11歲男孩的早期矯正故事:從害羞到自信笑容
許多家長都曾經疑惑過:孩子的牙齒是不是要等到全部換完,才能開始做矯正?其實,牙齒矯正並不是「愈晚愈好」,有些情況如果能在成長階段就介入,不但能幫助孩子恢復正常發育,也能避免將來需要更大範圍甚至手術性的治療。
今天要分享的案例,就是一位 11 歲男孩透過早期矯正,從「不敢笑的小孩」變成「愛笑又自信的小男孩」的故事。
案例分享
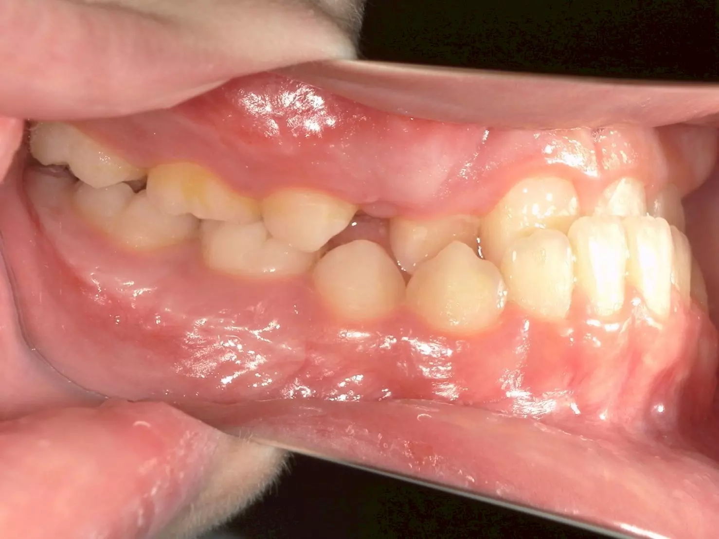
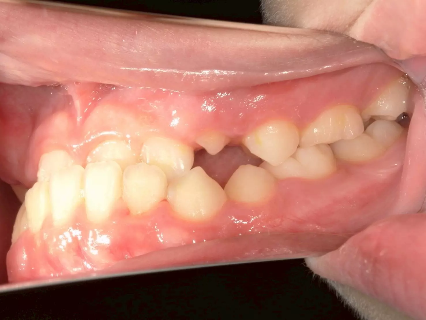
這位 11 歲的男孩,因為前牙錯咬問題導致上顎的牙弓變窄,前牙空間不足,不僅影響到進食,連笑容都變得不自然。他的父母觀察到,孩子不太喜歡吃東西,也漸漸在笑的時候變得保守,甚至開始避免拍照。
經過仔細檢查後,我們確認他屬於功能型第三類咬合異常 (Functional Class III)。這和大家熟知的「骨性戽斗」不同,他的狀況主要是因為牙齒排列影響了上顎的發育。這類型的咬合異常,如果沒有及早治療,可能會影響上顎的生長空間,進而讓整體顏面外觀及咬合狀態惡化。
因此,我們建議及早開始矯正,讓孩子的顎骨發育回到正常軌道,並減少未來可能面臨的複雜治療。



治療方式
整個治療歷時約一年,我們選擇使用隱形牙套來進行。
傳統印象裡,兒童矯正大多和「鐵牙套」畫上等號,但對孩子而言,鐵牙套在美觀和清潔上都比較不方便。隱形牙套則能兼顧舒適、美觀與生活品質,孩子願意配合的程度更高,這對治療成效來說是很重要的。
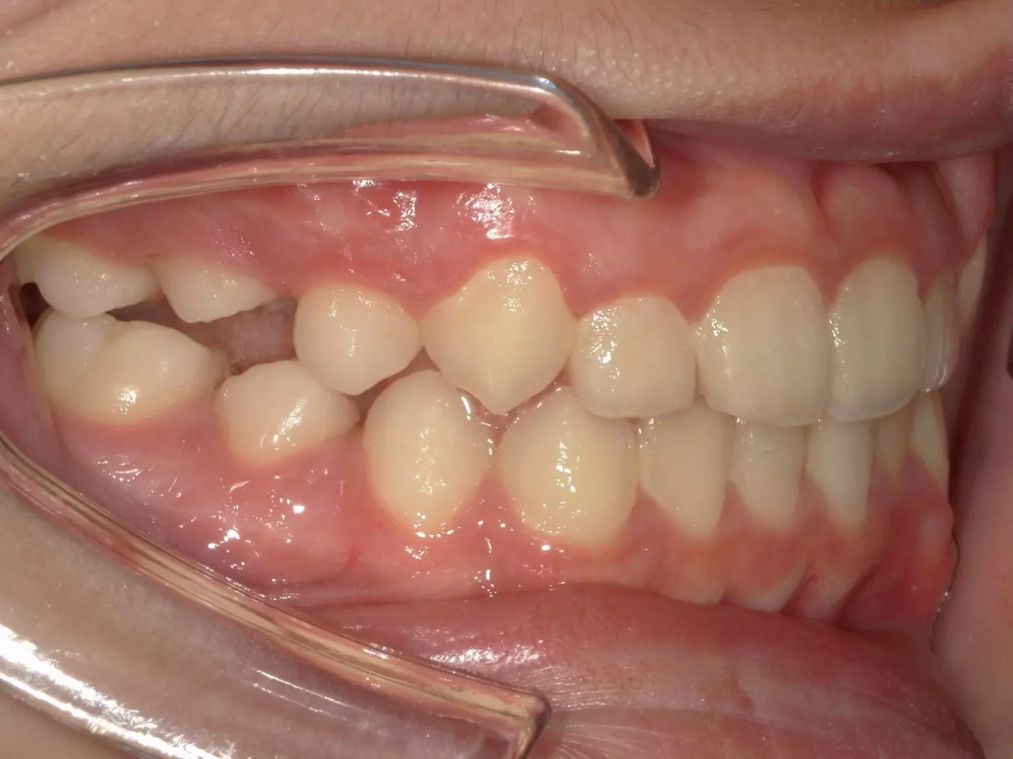
治療初期,我們著重在改善錯咬,並透過擴弓治療,逐步增加上顎牙弓的寬度,給犬齒足夠的空間長出來。當犬齒萌發後,再藉由牙套的控制將整體齒列排列整齊,並調整上下顎的咬合關係。
這樣的治療方式,不僅能改善當下的問題,也能幫助孩子的顏面與口腔功能在發育過程中保持正軌。

治療成果
治療結束後,男孩的上顎恢復了正常生長,下顎也回到了理想位置。齒列整齊了,咬合也正常了,最重要的是他的笑容回來了!
父母告訴我們,孩子現在不僅願意開懷大笑,飲食也變得正常許多,整個人更有自信。這對一個正在成長的孩子來說,是非常寶貴的轉變。

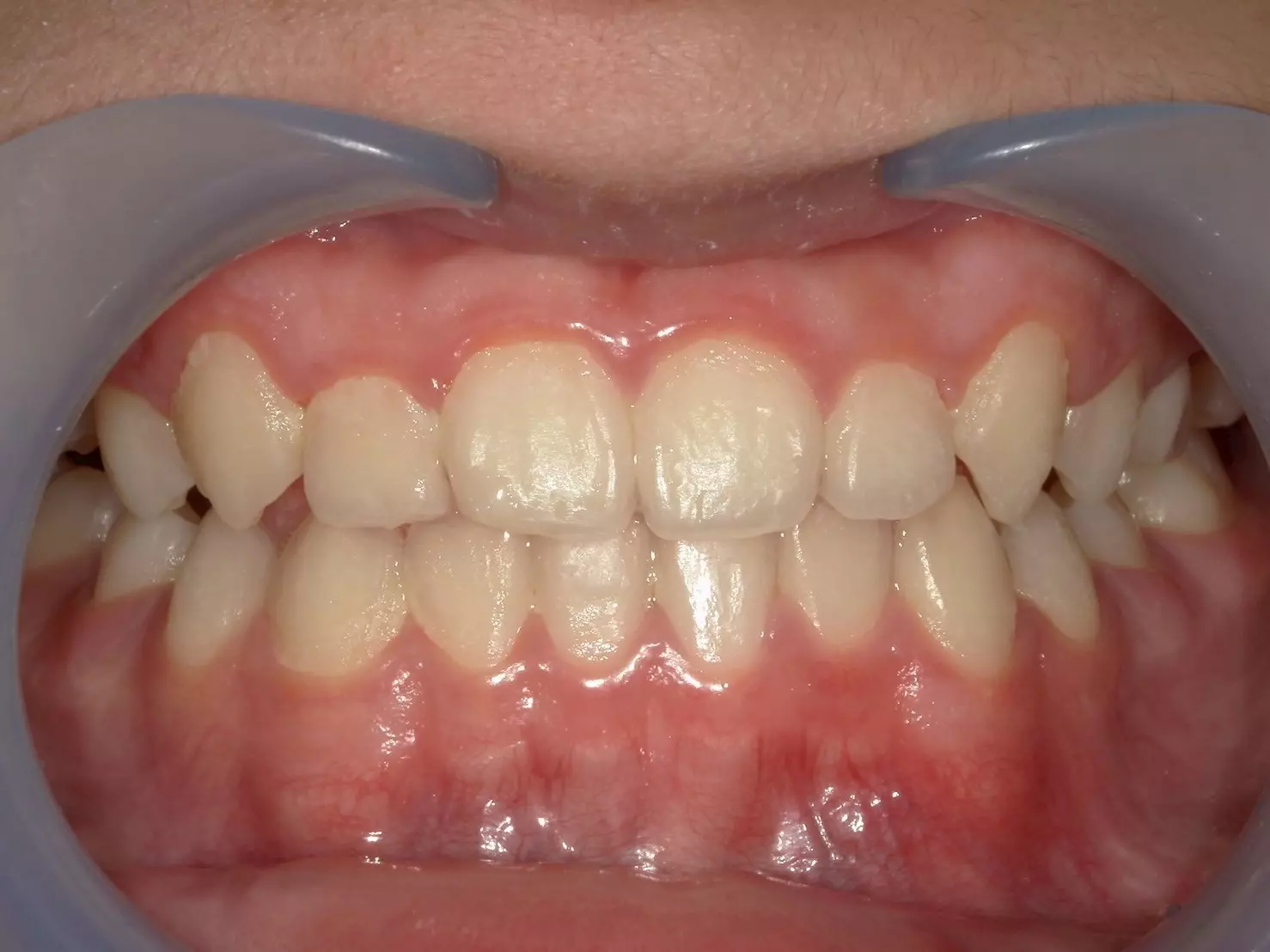
↑治療前

↑治療後
施文智醫師的觀點
不同醫師對於「何時開始矯正」的看法可能有所差異。但身為兒童牙醫,我認為最重要的,是在正確的時間給孩子最合適的治療。
對於這類咬合異常,如果拖到青春期甚至成年,可能就需要更大規模的矯正,甚至外科手術才能改善。因此,我們會透過精細的檢查與評估,找出孩子最適合的治療時機與方式,讓治療事半功倍。
對孩子來說,矯正並不只是「讓牙齒變整齊」,更是幫助他們在成長過程中能自在微笑、正常飲食,甚至提升自信與社交互動。



施文智醫師的想法
我一直覺得,兒童牙科的治療目標,不只是單純讓治療成功而已。更重要的,是能讓小朋友從害怕看牙,到不再恐懼,甚至慢慢喜歡上看牙。
當孩子們能在輕鬆舒適的環境中完成治療,他們未來對牙醫的印象也會完全不同。這些年來,有許多小朋友從幼稚園一路跟著我到國中、高中,甚至大學,每次看到他們笑著走進診所,跟我打招呼聊天,對我來說就是最大的成就感。

施文智醫師介紹
施文智 醫師
台大牙醫畢業,並於台大牙醫研究所接受兒童牙科訓練。曾極力推廣 Ni-Ti 鑽針系統與超音波沖洗系統,提升乳牙根管治療成功率。後來隨著許多小病患長大後有矯正需求,醫師為此持續進修,目前為已成為隱適美隱形矯正系統的固定講師。臨床專長包括:兒童牙科治療、早期矯正與特殊需求牙科。除了對一般病患之外,其對特殊需求患者(例如:自閉症、腦性麻痺、唐氏症等)亦有豐富經驗,期望透過專業回饋社會。
●臺北明仁牙醫診所
02-2727-0059
臺北市信義區松山路496號
●臺南建志牙醫診所
臺南市中西區金華路四段26號
06-2207497